Προγεννητική μαγνητική τομογραφία για τον εγκέφαλο [Βίντειο]


Προγεννητική μαγνητική τομογραφία για τον εγκέφαλο [Βίντειο]

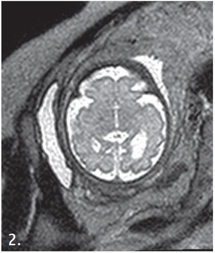
Γιατροί στο Κέντρο Μελέτης Εγκεφάλου στο Kings College του Λονδίνου δουλεύουν πάνω στην τεχνική της μαγνητικής τομογραφίας για τη χαρτογράφηση των εγκεφάλων των εμβρύων, που βρίσκονται ακόμη στη μήτρα.  

Οι παραδοσιακοί τομογράφοι δουλεύουν παίρνοντας μια σειρά φωτογραφιών του σώματος, που με τη βοήθεια λογισμικού στη συνέχεια μετατρέπονται σε τρισδιάστατες απεικονίσεις. Οι ασθενείς πρέπει να μένουν όσο μπορούν πιο ακίνητοι, ώστε η τομογραφία να είναι όσο πιο ακριβής γίνεται.

Αυτό όμως δεν μπορεί να συμβεί στην περίπτωση των εμβρύων, που κινούνται μέσα στον αμνιακό σάκο. Η μόνη τεχνική απεικόνισης που είχαμε μέχρι σήμερα αφορούσε τεχνικές μίας λήψης και στη συνέχεια παγώματος της εικόνας. Τώρα, ένα ειδικό λογισμικό επιτρέπει να κάνουμε απεικονίσεις, ακόμη κι όταν υπάρχει κίνηση. Και αυτό είναι ένα μεγάλο βήμα. Μας επιτρέπει να δούμε πώς αναπτύσσονται οι συνδέσεις των νευρώνων του εμβρύου, όσο αυτό βρίσκεται ακόμη μέσα στη μήτρα. Ο χάρτης του εγκεφάλου που δημιουργούν με αυτόν τον τρόπο οι επιστήμονες ονομάζεται Connectome.

«To Connectome μας παρέχει έναν χάρτη, που θα μας βοηθήσει να καταλάβουμε τι συμβαίνει μέσα στον εγκέφαλο. Θα μπορέσουμε να εντάξουμε όλες τις πληροφορίες που έχουμε. Τώρα ξέρουμε πολλά για τον τρόπο λειτουργίας του εγκεφάλου, για τα μόρια, για τον τρόπο που τα μηνύματα στέλνονται από τον έναν νευρώνα στον άλλο. Αλλά είναι πολύ δύσκολο να τα συνδέσουμε όλα αυτά, γιατί δεν έχουμε έναν χάρτη για να εντάξουμε όλες τις πληροφορίες. Ακόμη περισσότερο, όσον αφορά στην δική μας περίπτωση, δεν είχαμε έναν χάρτη, που να αλλάζει με τον καιρό. Θα έχουμε πλέον έναν χάρτη τεσσάρων διαστάσεων. Δηλαδή τις τρεις διαστάσεις του χώρου, συν τη διάσταση του χρόνου, στην οποία μπορούμε να βάλουμε νέα δεδομένα ή παλιά δεδομένα, που ήδη γνωρίζουμε για τον εγκέφαλο, για να αντιληφθούμε πώς όλα τα στοιχεία λειτουργούν σ’ αυτό το πλαίσιο» τόνισε ο καθηγητής παιδιατρικής στο Kings College του Λονδίνου, Ντέιβιντ Έντουαρντς.

Διαταραχές που υπάρχουν πριν ή κατά τη διάρκεια της γέννησης του εμβρύου μπορούν να έχουν σοβαρές συνέπειες στην υγεία του παιδιού και να γίνουν ορατές πολλά χρόνια αργότερα. Παρά τις εξελίξεις στη γενετική, οι επιστήμονες δεν γνωρίζουν ποιες είναι οι αιτίες για παράδειγμα που οδηγούν στον αυτισμό. Ειδικά τα πρόωρα μωρά είναι πολύ ευάλωτα σε διάφορες ασθένειες, καθώς γεννιούνται, ενώ δεν έχει ολοκληρωθεί ακόμη το νευρικό σύστημά τους.

«Μας ενδιαφέρει πολύ να μελετήσουμε περιπτώσεις που η ανάπτυξη δεν είναι η σωστή, που ο εγκέφαλος δεν έχει αναπτυχθεί κανονικά και δημιουργεί στο μωρό προβλήματα αντίληψης ή προβλήματα στις κοινωνικές του σχέσεις. Ενδιαφερόμαστε να δούμε πώς τα παιδιά αναπτύσσουν αυτισμό ή ελλειμματική προσοχή ή άλλες διαταραχές ή εγκεφαλική παράλυση. Θέλουμε να δούμε τι μπορεί να πάει λάθος στον εγκέφαλο και πώς οι συνδέσεις των νευρώνων μπορεί να είναι η αιτία για ό,τι συμβαίνει» επισημαίνει ο καθηγητής παιδιατρικής στο Kings College του Λονδίνου, Ντέιβιντ Έντουαρντς.

Για τους γονείς που συμμετέχουν στην έρευνα, όλο αυτό είναι ένα μοναδικό δώρο. Μπορούν να απολαύσουν καταπληκτικές φωτογραφίες που αποτυπώνουν την ανάπτυξη του εμβρύου τους.

«Είμαι πολύ περίεργη. Θέλω πολύ να ξέρω τι γίνεται ακριβώς. Ξέρω περίπου τι συμβαίνει εκεί μέσα, αλλά το να έχεις και φωτογραφίες είναι κάτι πολύτιμο. Να βλέπεις δηλαδή πώς τα πάνε και πώς μεγαλώνουν. Πάντα μου άρεσε ο υπέρηχος, αλλά το να έχεις ακόμη περισσότερα στοιχεία, είναι τέλειο» τόνισε η Λώρα Κρίτεντεν, που είναι έγκυος.

Η Λειτουργική Απεικόνιση Μαγνητικού Συντονισμού βοηθούσε τους επιστήμονες εδώ και πολλά χρόνια να δουν ποια μέρη του εγκεφάλου ενεργοποιούνται από φόβους ή εθισμούς, οι οποίοι προσπαθούσαν να εξηγήσουν την επιθυμία. Η νέα τεχνολογία μπορεί να τους βοηθήσει να βρουν ακόμη περισσότερα.

«Απεικονίσαμε τον τρόπο που το νερό κινείται στον εγκέφαλο. Το νερό κινεί προς τα πάνω ή προς τα κάτω τις νευρικές ίνες. Βλέπουμε την κίνηση και συμπεραίνουμε που βρίσκονται οι νευρώνες. Άρα μπορούμε να ελέγξουμε τη λειτουργία τους. Να δούμε πώς αλλάζει η ροή του αίματος στον εγκέφαλο. Όταν ο εγκέφαλος ενεργοποιεί μια συγκεκριμένη περιοχή, χρειάζεται περισσότερο αίμα. Μπορούμε να το δούμε. Μπορούμε λοιπόν να συμπεράνουμε από τις αλλαγές στη ροή του αίματος ποια μέρη του εγκεφάλου είναι ενεργά και ποια μέρη συνεργάζονται. Άρα βλέπουμε τη λειτουργία του εγκεφάλου με αυτή την μέθοδο» εξήγησε ο Ντέιβιντ Έντουαρντς.

Το επαναστατικό με αυτή τη νέα μέθοδο είναι ότι μπορούμε να ανακαλύψουμε πρώιμες διαταραχές ή ασθένειες που εμφανίζει το έμβρυο και να τις διαχειριστούμε έγκαιρα, πριν καν αναπτυχθούν.

 

 

 

Tags ΜΑΓΝΗΤΙΚΗ ΤΟΜΟΓΡΑΦΙΑ, ΕΒΡΥΟ, ΕΠΙΣΤΗΜΗ


# ΣΧΕΤΙΚΑ ΑΡΘΡΑ




# Διαβαστε Περισσοτερα




Query time: 3.3319 s (236 Queries.) // Parse time: 0.1999 s // Total time: 3.5318 s // Source: database

×
×
CLOSE X
CLOSE X
CLOSE X